Răng hô là một trong những tình trạng sai lệch khớp cắn phổ biến trong nha khoa, không chỉ ảnh hưởng đến thẩm mỹ khuôn mặt mà còn tác động trực tiếp đến chức năng ăn nhai, phát âm và sức khỏe răng miệng lâu dài. Nhiều người khi gặp tình trạng răng hô thường băn khoăn: Răng hô do đâu? Có chữa được không? Điều trị bằng phương pháp nào hiệu quả?
Trong bài viết này, Nha khoa City Smiles 322 Trường Chinh, phường Tân Bình, TP.HCM sẽ chia sẻ chi tiết về răng hô, nguyên nhân gây ra và các phương pháp điều trị hiện nay để giúp bạn lựa chọn giải pháp phù hợp nhất.
Răng hô là gì?
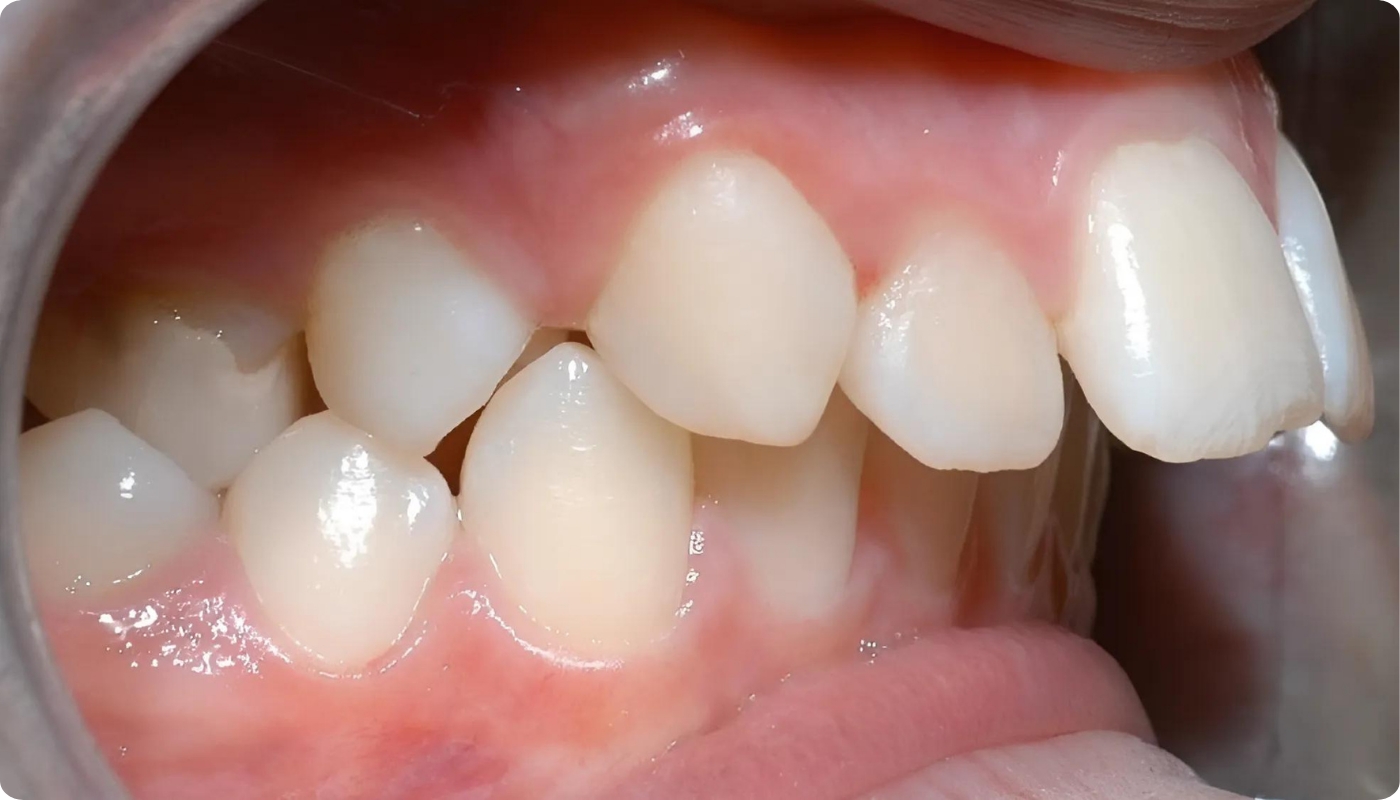
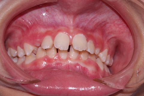
Răng hô (hay còn gọi là răng vẩu) là tình trạng răng hoặc xương hàm trên phát triển nhô ra phía trước nhiều hơn so với hàm dưới, khiến hai hàm không khớp với nhau đúng vị trí khi cắn.
Ở người bình thường, khi ngậm miệng:
-
Răng hàm trên chỉ phủ nhẹ lên răng hàm dưới
-
Hai hàm khớp nhau hài hòa
Tuy nhiên, ở người bị răng hô:
-
Răng cửa hàm trên chìa ra phía trước
-
Hai hàm không khép kín tự nhiên
-
Gương mặt nhìn nghiêng có xu hướng nhô ra phía trước
Tùy theo mức độ, răng hô có thể nhẹ, trung bình hoặc nặng và cần được bác sĩ nha khoa đánh giá chính xác để đưa ra phương án điều trị phù hợp.

Các loại răng hô thường gặp
Bác sĩ tại City Smiles chia sẻ rằng: răng hô được chia thành nhiều loại khác nhau dựa trên nguyên nhân và đặc điểm cấu trúc hàm mặt.
Hô do răng
Đây là trường hợp phổ biến nhất.
Đặc điểm:
-
Răng cửa hàm trên mọc chìa ra phía trước
-
Răng không mọc theo phương thẳng đứng
-
Cấu trúc xương hàm vẫn bình thường
Trường hợp này thường có thể điều trị hiệu quả bằng niềng răng chỉnh nha.
Hô do xương hàm
Tình trạng này xảy ra khi:
-
Xương hàm trên phát triển quá mức
-
Hoặc xương hàm dưới phát triển kém
Biểu hiện:
-
Miệng nhô ra phía trước
-
Khuôn mặt mất cân đối
-
Nhìn nghiêng thấy rõ hàm trên nhô ra
Trường hợp hô do xương thường cần phẫu thuật chỉnh hàm để điều trị triệt để.
Hô do cả răng và xương hàm
Đây là dạng hô hỗn hợp.
Đặc điểm:
-
Răng cửa chìa ra ngoài
-
Xương hàm trên cũng phát triển quá mức
Trường hợp này thường cần kết hợp niềng răng và phẫu thuật hàm để đạt hiệu quả tối ưu.

Dấu hiệu nhận biết răng hô
Bạn có thể nhận biết tình trạng răng hô thông qua một số dấu hiệu sau:
-
Răng cửa hàm trên nhô ra phía trước
-
Hai hàm không khép kín khi ngậm miệng
-
Nhìn nghiêng thấy miệng nhô ra ngoài
-
Môi khó khép tự nhiên
-
Cằm có xu hướng lẹm vào trong
-
Khi cười thấy răng chìa rõ
Ở trẻ nhỏ, răng hô còn có thể biểu hiện qua:
-
Thường xuyên mím môi
-
Thở bằng miệng
-
Phát âm không rõ
Nếu nhận thấy những dấu hiệu trên, bạn nên đến nha khoa để kiểm tra sớm nhằm xác định chính xác mức độ hô.

Nguyên nhân gây răng hô
Có nhiều nguyên nhân khác nhau dẫn đến tình trạng răng hô, trong đó phổ biến nhất là:
Di truyền
Di truyền là nguyên nhân phổ biến.
Nếu trong gia đình có người bị:
-
Răng hô
-
Hô hàm
-
Sai khớp cắn
Thì thế hệ sau có khả năng cao gặp tình trạng tương tự.
Thói quen xấu từ nhỏ
Một số thói quen ở trẻ em có thể làm răng mọc sai lệch:
-
Mút tay
-
Ngậm ti giả lâu
-
Thở bằng miệng
-
Đẩy lưỡi khi nuốt
Những thói quen này tạo áp lực lên răng và xương hàm khiến răng dần dần chìa ra ngoài.
Răng mọc chen chúc
Khi:
-
Kích thước răng lớn
-
Xương hàm nhỏ
răng sẽ không đủ chỗ mọc, dẫn đến:
-
Mọc lệch
-
Chen chúc
-
Chìa ra ngoài
Mất răng sữa sớm
Ở trẻ nhỏ, nếu răng sữa mất quá sớm:
-
Răng vĩnh viễn mọc không đúng vị trí
-
Cung răng bị lệch
Điều này có thể khiến răng mọc hô hoặc khấp khểnh.

Tác hại của răng hô
Nhiều người nghĩ rằng răng hô chỉ ảnh hưởng đến thẩm mỹ. Tuy nhiên, trên thực tế tình trạng này còn gây ra nhiều vấn đề khác.
Ảnh hưởng thẩm mỹ khuôn mặt
Răng hô khiến:
-
Miệng nhô ra
-
Môi dày hơn
-
Gương mặt mất cân đối
Điều này khiến nhiều người thiếu tự tin khi giao tiếp.

Giảm hiệu quả ăn nhai
Sai lệch khớp cắn khiến:
-
Hai hàm không khớp nhau
-
Lực nhai không đều
Từ đó làm giảm hiệu quả nghiền nát thức ăn.
Khó vệ sinh răng miệng
Răng mọc lệch tạo ra nhiều khe hở khiến:
-
Thức ăn dễ mắc kẹt
-
Khó vệ sinh
Tăng nguy cơ:
-
Sâu răng
-
Viêm lợi
-
Viêm nha chu
Ảnh hưởng phát âm
Một số người bị răng hô gặp khó khăn khi phát âm các âm:
-
s
-
x
-
ch
Điều này gây ảnh hưởng đến giao tiếp.
Các phương pháp điều trị răng hô hiệu quả
Hiện nay, nha khoa hiện đại có nhiều phương pháp giúp khắc phục tình trạng răng hô.
Niềng răng chỉnh nha
Niềng răng là phương pháp phổ biến và hiệu quả nhất.
Nguyên lý:
Bác sĩ sử dụng các khí cụ chỉnh nha để tạo lực kéo giúp răng di chuyển về đúng vị trí, từ đó:
-
Điều chỉnh khớp cắn
-
Làm răng đều đẹp
-
Cải thiện thẩm mỹ khuôn mặt
Các phương pháp niềng răng phổ biến:
-
Niềng răng mắc cài kim loại
-
Niềng răng mắc cài sứ
-
Niềng răng trong suốt Invisalign
Thời gian điều trị thường từ 12 – 24 tháng tùy từng trường hợp.

Phẫu thuật chỉnh hàm
Phương pháp này áp dụng cho trường hợp:
-
Hô do xương hàm
-
Xương hàm phát triển quá mức
Bác sĩ sẽ thực hiện:
-
Cắt chỉnh xương hàm
-
Đưa hàm về vị trí cân đối
Phẫu thuật hàm mang lại hiệu quả nhanh nhưng cần được thực hiện tại bệnh viện hoặc cơ sở chuyên sâu.
Bọc răng sứ (trường hợp hô nhẹ)
Trong một số trường hợp hô nhẹ do răng, bác sĩ có thể chỉ định bọc răng sứ để:
-
Điều chỉnh hình dáng răng
-
Cải thiện thẩm mỹ
Tuy nhiên phương pháp này chỉ áp dụng khi mức độ hô nhẹ.

Khi nào nên điều trị răng hô?
Bạn nên điều trị răng hô khi:
-
Răng chìa ra rõ rệt
-
Khớp cắn sai lệch
-
Ảnh hưởng thẩm mỹ khuôn mặt
-
Khó ăn nhai hoặc phát âm
Đặc biệt, trẻ em trong độ tuổi 6 – 12 tuổi nên được kiểm tra chỉnh nha sớm vì:
-
Xương hàm đang phát triển
-
Việc điều chỉnh sẽ dễ dàng và hiệu quả hơn.
Một số câu hỏi thường gặp về răng hô
Răng hô nhẹ có cần điều trị không?
Ngay cả khi hô nhẹ, việc điều trị vẫn nên được cân nhắc vì:
-
Răng có thể hô nặng hơn theo thời gian
-
Ảnh hưởng đến khớp cắn và thẩm mỹ.
Răng hô có tự hết không?
Không.
Răng hô không thể tự điều chỉnh nếu không có sự can thiệp của nha sĩ.
Điều trị răng hô mất bao lâu?
Thời gian điều trị phụ thuộc vào phương pháp:
-
Niềng răng: khoảng 1 – 2 năm
-
Phẫu thuật hàm: vài tuần hồi phục
Kết luận
Răng hô là tình trạng sai lệch khớp cắn khá phổ biến và có thể gây ra nhiều ảnh hưởng đến thẩm mỹ, chức năng ăn nhai và sức khỏe răng miệng. Việc xác định đúng nguyên nhân gây hô (do răng hay do xương hàm) sẽ giúp bác sĩ đưa ra phương pháp điều trị phù hợp như niềng răng, phẫu thuật hàm hoặc kết hợp nhiều kỹ thuật.
Nếu bạn nghi ngờ mình bị răng hô, hãy đến nha khoa để được thăm khám, chụp phim và tư vấn phác đồ điều trị sớm nhằm đạt hiệu quả tốt nhất.
